Casus 5: Colin

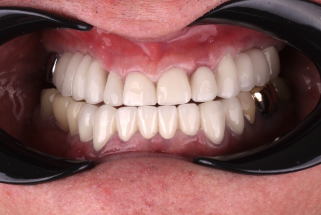
PROCEDURE
Na een grondig consult werd besloten tot de volgende behandelingen: Implantaten + Zirkonium kronen + wortelkanaalbehandeling om zowel de mondgezondheid, functie als esthetiek te herstellen.
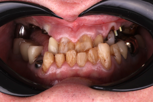
PROBLEEM

Hij klaagde dat hij meerdere tanden had verloren, waardoor hij niet goed kon kauwen en spreken. Daarnaast verklaarde hij dat hij lijdt aan malocclusie, wat betekent dat zijn overgebleven tanden scheef staan. Colin merkte ook op dat zijn tanden verkleurd zijn, wat het uiterlijk van zijn glimlach en zijn zelfvertrouwen aantast.
OPLOSSING

Eerst werden de geïnfecteerde tanden behandeld met een wortelkanaalbehandeling. Daarna werden de tandheelkundige implantaten geplaatst om de functie en het uiterlijk te herstellen op de plaats waar de tanden ontbraken. Op de implantaten en op zijn eigen tanden werden vervolgens zirkoniumkronen geplaatst. Dit behandelplan corrigeerde zowel de scheefstand als de ontbrekende tanden. Zowel het uiterlijk als de functie van zijn tanden werden hersteld.
Ik realiseerde me niet hoe belangrijk het was om er gezond en esthetisch uit te zien totdat ik deze levensveranderende behandeling kreeg. Ik herkende mezelf niet meer in de spiegel en heb er spijt van dat ik de pijn tot nu toe heb doorstaan. Bedankt MCAN Dental voor jullie uitstekende zorg!
– Colin