Casus 6: Shelley

PROCEDURE
Shelley vertrouwde op MCAN Dental voor haar reis naar een perfect esthetisch gebit en haar uiteindelijke plan was om 6 E-max facings te plaatsen op de bovenkaak, in lijn met haar verwachtingen.
PROBLEEM

Hoewel Shelley tevreden was met de algemene staat van haar gebit, gaf ze aan dat ze esthetisch mooiere, helderdere en rechtere tanden wilde. Ze gaf aan dat ze zo min mogelijk wilde schaven aan haar natuurlijke tanden.
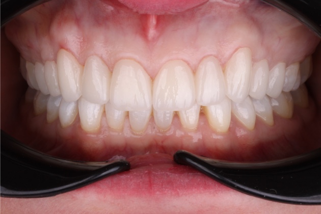
OPLOSSING

6 E-max facings, gemaakt van zuiver en compact geperst porselein, werden aangebracht op de voortanden van de bovenkaak. Met deze behandeling konden haar tanden uitgelijnd worden, terwijl er een minimale reductie van de natuurlijke tand nodig was. Het doel was om het esthetische uiterlijk te verbeteren, zodat de tanden er natuurlijk en stralend uitzagen.
Ik wilde graag rechtere en mooiere tanden omdat tanden belangrijk zijn voor je uiterlijk. Na maandenlang onderzoek besloot ik voor MCAN Dental te kiezen. De kliniek was superschoon en comfortabel en het team was zo behulpzaam. Ik ben over het algemeen zo tevreden.
– Shelley