Casus 8: Laura

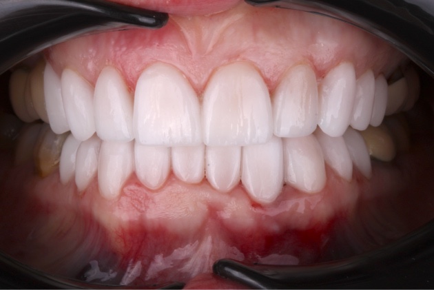
PROCEDURE
Laura koos MCAN Dental voor haar langverwachte tandheelkundige make-over en haar uiteindelijke behandelplan zag er als volgt uit: Plaatsing van 9 E-max kronen op de bovenkaak + 10 E-max kronen op de onderkaak.
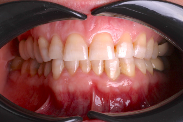
PROBLEEM

Onze patiënte klaagde over een occlusieprobleem, wat betekende dat haar tanden en lachlijn niet zichtbaar waren. Ze maakte zich ook zorgen over de verkleuring van haar tanden, die haar esthetische uiterlijk en zelfvertrouwen aantastte.
OPLOSSING

Om haar problemen aan te pakken, werden e-max facings geplaatst in zowel haar boven- als onderkaak. Deze behandeling corrigeerde haar beetproblemen en maakte haar tanden en lachlijn zichtbaar. De kronen zorgden ook voor een uniform, esthetisch uiterlijk en losten het probleem van verkleuring op.
MCAN Dental gaf me de glimlach van mijn dromen. Het is verbazingwekkend hoe je tanden je er jonger uit kunnen laten zien! Bedankt MCAN Dental voor jullie professionaliteit en zorg!
– Laura