
Long-term side effects of dental implants are important to know in order to make an informed decision. While they are a very effective solution for replacing missing teeth, offering a long-lasting and durable solution, they may have side effects. Let us explain the possible risks and long-term side effects of dental implants clearly and concisely for you!
Potential Long-term Side Effects of Dental Implants
It’s important to note that dental implants have a high success rate if experienced and skilled medical professionals perform them in a safe environment. The side effects can vary depending on the patient’s health, how well they are cared for and the dentist’s skill. Understanding these risks can help you manage them effectively if you ever encounter one of them.
Infection and Inflammation
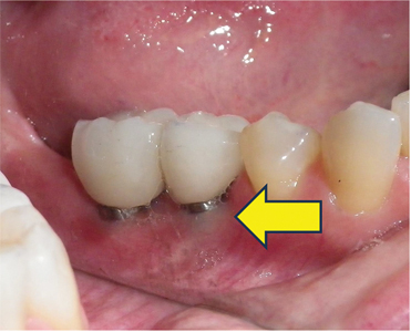
According to a study, infection and inflammation are among dental implants’ most common side effects. These are known as “peri-implants,” and they result from bacteria building up around the implant. Bacteria buildup may happen due to poor oral hygiene, improper implant placement and other pre-existing issues such as diabetes and gum disease. Also smoking and putting excessive force on the implants can also contribute to this problem. Treatment for infection may include antibiotics or deep cleaning. Surgical intervention may be required to remove the infected area and regenerate the bone if the condition is severe. Take a look at dental implant infection pictures below:


What are the dental implant infection signs to look for? The signs may include:
- The infected implant may result in redness and swelling around the implant sites
- Pus or discharge around the implant sites is a clear indication of an infection
- The loose or unstable feeling of the implant may be due to an underlying infection affecting the bone.
- Infection can also cause a low-grade fever.
According to a research, peri-implantitis can take around 5 years to progress and result in symptoms. If you notice any of these dental implant infection signs after getting a dental implant, you should promptly contact your medical professional without waiting.
Nerve Damage
If the implant is placed too close to a nerve due to poor planning and execution of the procedure, an implant may compress or severe the nerve, resulting in nerve damage. Symptoms include numbness, tingling and pain in the lips, gum or tongue. If not addressed adequately, this can be one of the long-term side effects of dental implants. This can be treated with medications, physical therapy or surgical intervention, depending on the severity of the case.

Implant Fracture
Another long-term side effects of dental implants is the implant fracture. It means breaking or cracking the implants itself or the crown due to excessive force or poor placement. As this would compromise the stability and function, it requires repair or replacement. Try to avoid putting excessive pressure on the implant such as chewing too hard food. Also, try to avoid clenching your teeth. A nightguard would be a protective solution to prevent grinding your teeth at night.

Implant Failure
Implant failure is another possible long-term side effect of dental implants, although it is less common. It can result in when the implant cannot be properly fused with the bone. Other factors leading to failure can be infections or excessive force. The signs of implant failure are mobility of the implant, pain, difficulty in chewing and, in some cases, fall out of the implant. To treat the implant failure, the dentist may decide to remove the implant and treat the underlying infection or graft bone to prepare for a new implant.

Bone Loss and Resorption
Bone loss can occur because of infection and inflammation, poor osseointegration (bone-implant fusion process), or excessive forces on the implant. Aging can also contribute to this problem. As a result of bone loss, the implant’s stability may be decreased and failure risk may be increased. To treat this issue, the dentist may perform bone grafting, which means transplanting bone tissue to the related area. You should avoid excessive force on the implants, maintain good oral hygiene and regularly visit a dentist to avoid bone loss.

Allergic Reactions
Although it is rare, some people may develop allergic reactions to the dental implants’ materials. Titanium is the most common material used in dental implants and is generally well-tolerated by our body. However, some people may experience allergic reactions to it, and the symptoms include rash, itching, localized skin reactions, swelling, and some discomfort around the implant site. A thorough evaluation, allergy tests and/or blood tests are necessary to diagnose this allergic reaction. Some medications may be used to manage the symptoms, and the implant may be removed if the condition is severe.

So, we covered the 6 long-term side effects of dental implants so far. Understanding these risks and taking measurements to prevent them is important for the longevity and success of the dental implant. You should always maintain excellent oral hygiene and attend regular dental check-ups, and if you realize any symptoms, you should contact your dentist without waiting any longer. All the effects that you may consider as the worst part of dental implant is actually preventable by taking some easy measurements. The most important is also selecting the right dental clinic. You should check the clinic’s before and after photos, patients’ case studies, dentist’s background, and experience year, and be sure that the clinic has a proper after-care system in place.
How Can I Know If I am Suitable for Dental Implants?
Before taking a close look at dental implants’ suitability, let us briefly remind you how dental implants work. Dental implants consist of two components: the implant and the crown. The titanium implant integrates the jawbone through the osseointegration process and the crown serves as the visible part of the tooth. First, the implant is placed into the jawbone and the patient waits for 6 months for the implants to integrate into the jawbone. After the integration, the crown is placed on top of the implant.

Dental crowns are highly durable and natural-looking dental restorations. Implants are a very effective solution for replacing missing teeth and have many advantages over other possible solutions, such as dentures. When performed correctly, they are a long-lasting, durable, and aesthetically pleasing solution.

So, are you suitable for dental implants? Well, it depends on several factors, although a dental professional can give the most accurate information by examining your X-ray and your oral health.
- Presence of Missing Teeth: If you have missing teeth due to decay, injury or periodontal disease, dental implants are excellent for providing artificial teeth.
- Lifestyle Factors: Some lifestyle habits, such as smoking, can negatively affect the implant process and even cause a failure. Smoking restricts blood flow to the gums. It’s recommended to quit smoking before the implant surgery to increase the success rate.
- Oral Health: Healthy gums and adequate bone density are essential for a successful dental implant procedure. Gum diseases and significant bone loss can prevent the stability of the implant. Your dentist may advise a bone grafting procedure if you do not have sufficient bone.
- Overall Health: Your overall health is important, as is your oral health. Chronic health conditions such as diabetes, cardiovascular diseases, and immune system problems can affect the healing process. Before dental implants, it’s important to talk with the dentist about your conditions and how to manage them.
- Dissatisfaction with Dentures: If you are using dentures for your missing teeth and find them uncomfortable and are looking for a more durable and functional solution, implants can be suitable for you. Dental implants provide better chewing efficiency and speech clarity.

Remember that talking with a medical expert when thinking about dental implants is very important. The suitability and number of implants to perform can only be determined after a consultation. If you are wondering about the prices of dental implants, it can be said that they depend on various factors, such as the country, the clinic’s reputation and results, and the dentists’ skills and expertise. Dental implant prices in UK are typically around £3,000 and in USA, dental implant prices are around $5,000. In other countries with very sufficient and improved medical infrastructure, such as Turkey, the prices are much more affordable. This affordability is due to high exchange rate differences between the Turkish Lira and other currencies, government support for medical tourism and high competition between many clinics. The clinics and doctors are much more experienced than their counterparts, as each year, thousands of patients come from all over the world. Dental implant in Turkey costs around £235 to £850. Considering the expertise, skill and price, the country is like a dental heaven! To learn more about dental treatment prices or get a free consultation, please contact MCAN Dental’s dental professionals!

