Casus 4: Jennifer

PROCEDURE
Op basis van Jennifer’s klachten, mondhygiëne en verwachtingen werd besloten tot de uiteindelijke behandeling: All on 4 implantaten + porseleinen kronen + wortelkanaalbehandeling. Met dit plan kon ze haar mondgezondheid en esthetische uitstraling herstellen tegen een zeer betaalbaar tarief.
PROBLEEM

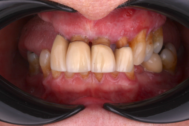
Ze klaagde dat ze verschillende tanden miste en dat haar overgebleven tanden in slechte staat waren. Als gevolg daarvan waren zelfs dagelijkse activiteiten zoals eten en spreken een uitdaging voor haar. Ze meldde ook dat ze zich ongemakkelijk voelde als ze glimlachte en dat ze haar glimlach verborg.
OPLOSSING

De slecht geconditioneerde tanden in de bovenkaak werden geëxtraheerd, waarna 4 gekantelde implantaten werden geplaatst met behulp van de All On 4 implantaattechniek. Na de implantaatintegratie werden er vaste-permanente porseleinen kronen geplaatst.
In de onderkaak werden geïnfecteerde tanden behandeld met een wortelkanaalbehandeling en er werden porseleinen kronen op geplaatst. Dit resulteerde in een verbetering van zowel het uiterlijk als de uitstraling van haar tanden.
Na jarenlang mijn mond te hebben verstopt als ik lachte, voel ik me nu eindelijk vrij om te lachen hoe ik wil. Vanaf het eerste moment was de communicatie, de zorg en het inlevingsvermogen perfect en ik was sprakeloos. Het voelde alsof ik door mijn familie werd behandeld, zo’n warm en vakkundig team!
– Jennifer