Casus 9: Azmir

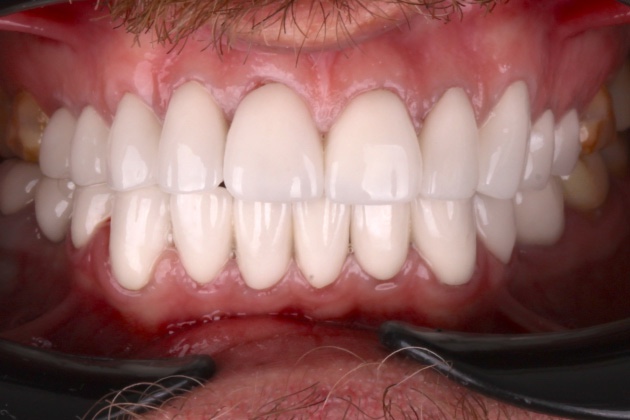
PROCEDURE
Azmirs behandelplan bestond uit de plaatsing van 10 porseleinen kronen in de bovenkaak + 11 porseleinen kronen in de onderkaak , waardoor hij sterke en natuurlijk ogende tanden kreeg tegen een veel lagere prijs dan in zijn eigen land.
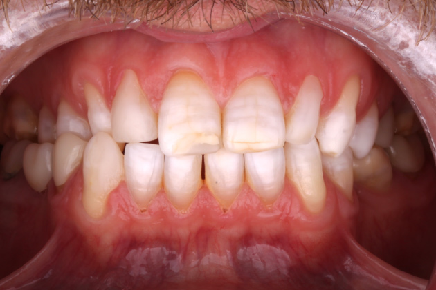
PROBLEEM

Onze patiënt uitte zijn bezorgdheid over het feit dat zijn tanden niet goed uitgelijnd waren, wat gevolgen had voor zijn beet en algehele gebitsgezondheid. Bovendien wees hij erop dat zijn tanden verkleurd waren, wat de esthetiek van zijn glimlach beïnvloedde.
OPLOSSING

Om zijn klachten te verhelpen, werden er porseleinen kronen geplaatst op zowel de boven- als onderkaak. Deze aanpak corrigeerde het probleem van de scheefstand en zorgde voor een goede beet en algehele goede mondfunctionaliteit. De kronen boden ook een permanente oplossing voor zijn zorgen over verkleuring, waardoor hij een stralende en frisse lach kreeg.
Mijn tanden zijn opgeknapt, veel sterker en helderder. Vanaf het eerste moment dat ik contact opnam met MCAN Dental wist ik zeker dat ze echt professioneel en vakkundig waren. De kliniek was ook super centraal en schoon. Bedankt MCAN Dental!
– Azmir